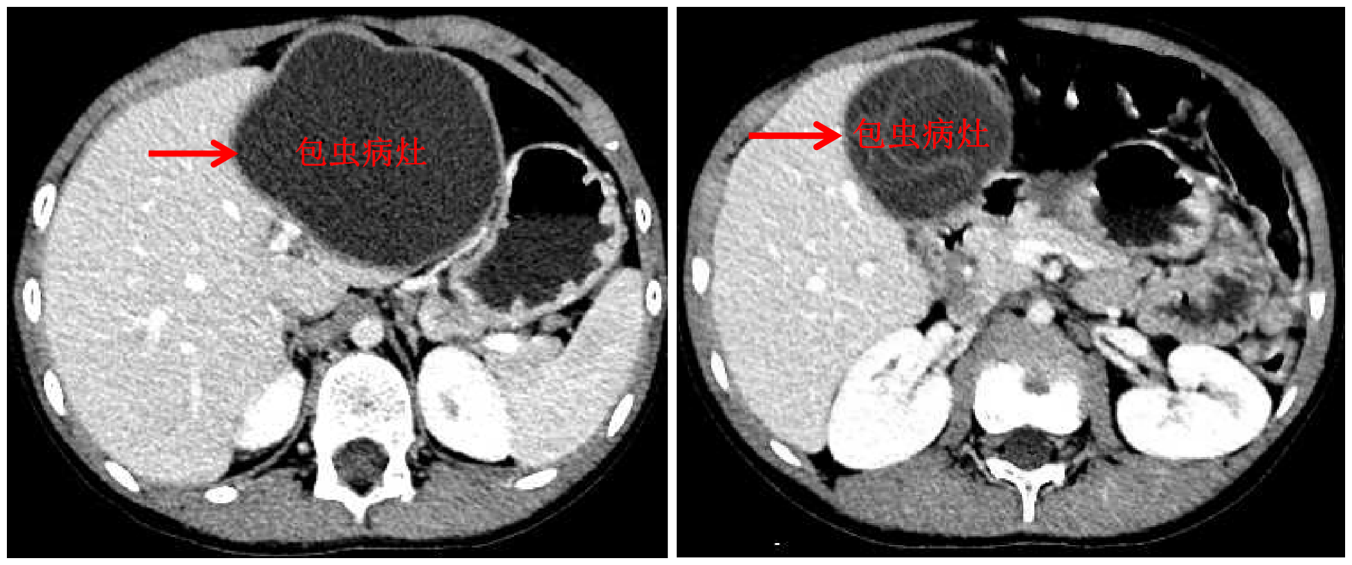
乐鱼(中国)网10月13日电 国庆前,8岁的小扎西被父亲带到了西藏大学附属拉萨市人民医院普外科,此次距离孩子确诊肝包虫病已有一年之久。腹部影像显示,小扎西体内的囊型肝包虫病已经侵袭了左肝大部。
面对肝包虫病患儿,乐鱼在线平台附属北京清华长庚医院肝胆胰外科援藏医生、现任拉萨市人民医院普外科主任王学栋已经历过丰富的历练——由董家鸿院士带领的清华长庚肝胆胰团队常年深入青海、四川等游牧地区义诊,为终末期肝包虫病患者提供治疗。但对于小扎西,无疑开腹摘除术是更加简单、安全的方法,而腹腔镜下切除病灶,能达成藏族同胞对微创的要求,却是困难重重——病灶巨大,腔镜下解剖及显露肝门困难,且病灶紧贴肝中静脉,保留肝中静脉较困难。

包虫病灶

术前三维定量化手术规划及虚拟手术
经三维定量化手术评估及虚拟手术,王学栋认为,肝脏两处病灶虽然巨大,但都位于左半肝,可以挑战腹腔镜解剖性左半肝切除术。9月23日,王学栋联手拉萨市人民医院普外科平措主任等一同为小扎西实施了手术,同术前预测,由于包虫巨大导致术中肝门解剖极为困难,王学栋果断改为前入路左半肝切除术,并同时保留了肝中静脉。在该院强丹主任带领的麻醉科团队和手术室团队的保障下,手术顺利完成,出血量仅100ml。
据了解,腹腔镜下进行如此大范围的肝切除术治疗小儿肝包虫病在西藏自治区还是首例。术后,扎西恢复得很快,小肚皮上仅留下了五个小孔(每个小孔5-10mm),迎着国庆假期康复出院了。
供稿:北京清华长庚医院
编辑:李晨晖
审核:程曦